Размножение китайского коронавируса: ученые показали знаковое фото

Размножение китайского коронавируса: ученые показали знаковое фото
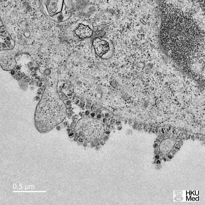
В Китае с помощью электронного микроскопа ученым удалось узнать, как размножается новый коронавирус внутри клетки. Исследователи из Университета Гонконга опубликовали снимки, которые демонстрируют размножение нового вируса.
Они изучили часть инфицированной клетки, выращенной в культуре, с вирусными частицами, которые высвобождаются с ее поверхности. Ученые отмечают, что в каждой инфицированной клетке могут появиться тысячи новых носителей коронавируса, которые затем поражают здоровые клетки, сообщает Bloomberg.

Теги: ИнфекциинаукаВирусЭпидемия коронавирусакоронавирус
Коментарі:
comments powered by DisqusЗагрузка...
Наші опитування
Показати результати опитування
Показати всі опитування на сайті
