В сети показали, как выглядели легкие умершего от коронавируса: шокирующие фото

В сети показали, как выглядели легкие умершего от коронавируса: шокирующие фото
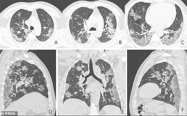
В сети появились шокирующие рентгеновские снимки и сканы компьютерной томографии с изображением легких заболевших коронавирусом, который стал причиной пандемии.
В частности, Радиологическое общество Северной Америки (Radiological Society of North America) опубликовало снимки легких 44-летнего жителя Китая, работавшего на рынке в Ухане (откуда, как полагают, начала распространяться эпидемия) и умершего от COVID-19.
На фото видны все увеличивающиеся со временем белые пятна в нижней части дыхательных органов. Радиологи называют это симптомом «матового стекла». Он отражает различные патологические изменения в легочной ткани.
Как подчеркивает издание Daily Mail, на фото заметно как присутствие жидкости в легких мужчины постепенно становится все более выраженным — от первого изображения A до последнего F.

Китаец поступил в больницу в декабре 2019 года — после того, как у него в течение двух недель наблюдался сильный кашель и высокая температура. Врачи диагностировали пневмонию и острый респираторный дистресс-синдром. Несмотря на усилия медиков, пациент скончался неделю спустя.
Теги: пациентыЖертвыВирусЭпидемия коронавирусакоронавирус
Коментарі:
comments powered by DisqusЗагрузка...
Наші опитування
Показати результати опитування
Показати всі опитування на сайті
