Врачи обнаружили патологию у людей, переболевших коронавирусом без симптомов

Врачи обнаружили патологию у людей, переболевших коронавирусом без симптомов
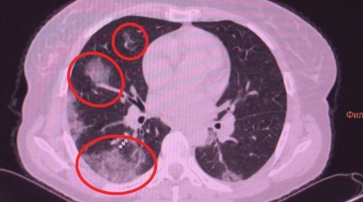
Японские и американские врачи обнаружили патологию у людей, которые переболели коронавирусом без симптомов.
У некоторых пациентов происходят изменения в легких.
Отмечается, что человек чувствует себя нормально, но коронавирус повреждает легочную ткань, на которой образуются уплотнения.
Врач-рентгенолог "Медико-хирургического центра на Пресне" Людмила Леонова пояснила, что воспаленная зона в легких начинает фиброзироваться (фиброз – уплотнение легочной ткани).
По ее словам, если болезнь протекает в легкой форме, то фиброз со временем проходит. Однако в тяжелой форме он чаще всего остается, учитывая возрастные показатели населения.
Теги: ПатологияпациентыБольныеЭпидемия коронавирусакоронавирус
Коментарі:
comments powered by DisqusЗагрузка...
Наші опитування
Показати результати опитування
Показати всі опитування на сайті
