АНТИКОР — національний антикорупційний портал
МОВАЯЗЫКLANG
Київ: 8°C
Харків: 8°C
Дніпро: 8°C
Одеса: 8°C
Чернігів: 9°C
Суми: 8°C
Львів: 4°C
Ужгород: 8°C
Луцьк: 4°C
Рівне: 3°C

Вначале простуда, потом — кома: шокирующий рассказ пациента с ковидом — Deutsche Welle

Читать на русском
Вначале простуда, потом — кома: шокирующий рассказ пациента с ковидом — Deutsche Welle
Вначале простуда, потом — кома: шокирующий рассказ пациента с ковидом — Deutsche Welle

Опасность переболеть коронавирусом в самой тяжелой форме существует и для тех, кто не входит в группу риска. История пациента, который был на грани смерти.

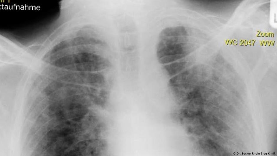
Немец Петер Шмидтген (Peter Schmidtgen) — один из тех, кто перенес COVID-19 в наиболее тяжелой форме. Рентгеновский снимок его легких сейчас показывают друг другу врачи как пример губительного воздействия нового коронавируса SARS-CoV-2 на организм человека.

Об этом говорится в сегодняшней статье Deutsche Welle.

Симптомы ковида вначале приняли за простуду 

В конце марта Петер Шмидтген обратился к врачу. Тот поставил диагноз: простуда. «У меня была легкая головная боль. Насморк и кашель. Врач вначале не отнесся всерьез к моим симптомам», — рассказывает мужчина.

Ему прописали антибиотики, но они не помогали. Симптомы не проходили, а, наоборот, усиливались.

Когда Шмидтген обратился к врачу повторно, реакция была совсем другой. «Врач сразу же вызвал «скорую помощь», на которой меня доставили в ближайшую клинику», — вспоминает он.

Там был проведен тест на коронавирус. Результат был положительный. «Я провел в больнице два дня. Но мне становилось все хуже и хуже. Потом врачи ввели меня в искусственную кому. Это было 4 апреля», — говорит Шмидтген.

В состоянии искусственной комы он пролежал два месяца. Все это время он был подключен к аппарату искусственной вентиляции легких. «Его легкие были в ужасном состоянии. Они практически перестали функционировать, потому что не получали кислород», — рассказывает лечащий врач Сильвия Линденберг (Silvia Lindenberg).

По ее словам, врачи из других клиник, куда вынуждены были на время перевезти находящегося в коме Шмидтгена, просто теряли дар речи, когда видели снимки его легких. Они были похожи на один большой рубец.

Dr. Silvia Lindenberg dqxikeidqxitkant

Осложнения после COVID-19

«У него был тромбоз глубоких вен. Легочная эмболия слева и справа. Он перенес инфаркт головного мозга, инсульт. Левая рука не двигалась вообще. Это типичная картина для больных COVID-19, у которых болезнь протекает в тяжелой форме», — так описывает состояние Шмитдгена его лечащий врач.

После того, как Петера Шмидтгена вывели из комы, его состояние улучшилось, но последствия для здоровья оказались очень серьезными. «Он страдает от так называемой ретроградной амнезии. Не помнит почти ничего, с того момента, как оказался в больнице. Все, что с ним происходило, он знает по рассказу врачей», — говорит Сильвия Линденберг.

С июня Петер Шмидтген проходит реабилитацию в Рейнско-вестфальском реабилитационном центре для людей с заболеваниями органов дыхания.

«Когда я увидел себя в зеркале после того, как пришел в себя, — не узнал. Я похудел больше чем на 10 кг. Поначалу совсем не мог ходить, только лежал. Сейчас ко мне три раза в день приходят физиотерапевты. Я потихоньку начинаю что-то делать сам. Уже самостоятельно умываюсь», — рассказывает мужчина о своем нынешнем состоянии.

Тяжелая форма COVID-19 при отсутствии хронических заболеваний

Не считая возраста, 66-летний Петер Шмидтген не относился к пациентам из группы риска. У него не было никаких хронических заболеваний, лишнего веса, проблем с давлением или уровнем сахара в крови. Его рост 1 метр 82 см, а вес не превышал 80 кг.

«Я всегда был очень активным. Занимался спортом. Ездил на велосипеде, зимой катался на лыжах. Болели другие, но не я», — рассказывает мужчина.

Вместе с женой Шмидтген любил путешествовать. Они объехали полмира и два года назад побывали даже в Антарктиде.

«Однажды я на велосипеде проехал через все Соединенные Штаты: от Атлантики до Тихого океана. И на Эвересте я тоже однажды побывал. Именно там я впервые почувствовал, как это, когда тебе не хватает воздуха. На такой высоте очень мало кислорода. Ты вынужден быстро дышать, но кислород не поступает в легкие», — вспоминает о своих поездках мужчина.

Corona-Patient Schmidtgen am See.

Он не знает, как и где был инфицирован коронавирусом. «Я всегда считал, что у меня сильный иммунитет  и нет никакой генетической предрасположенности к тяжелым заболеваниям. Моя мать прожила 99 лет и всегда была бодра и активна», — говорит Шмидтген.

Но это убеждение оказалось ложным, признает теперь он. Сейчас он говорит о том, что на своем примере хотел бы показать тем, кто до сих пор не верит в существование нового вируса, насколько серьезна и реальна эта опасность.

С ним согласна и его лечащий врач Сильвия Линденберг, через чьи руки прошли многие пациенты, переболевшие ковидом. «Было бы хорошо, если бы  все, кто отрицает коронавирус, увидели, как на самом деле обстоят дела в палате интенсивной терапии, где лежат коронавирусные больные. Я считаю, что это очень важно, каждый раз напоминать о том, что COVID-19 — тяжелая болезнь, вызываемая коронавирусом, и к ней не нужно относиться легкомысленно», — говорит врач.


Теги: БолезнисмертьЭпидемия коронавирусакоронавирусCOVID-19пациенты

Дата і час 29 листопада 2020 г., 15:21     Переглядів Переглядів: 1414
Коментарі Коментарі: 0


Коментарі:

comments powered by Disqus
loading...
Загрузка...

Наші опитування

Чи вірите ви, що Дональд Трамп зможе зупинити війну між Росією та Україною?







Показати результати опитування
Показати всі опитування на сайті
0.041988