В Харькове из-за опасной игрушки младенцу провели сложную операцию

В Харькове из-за опасной игрушки младенцу провели сложную операцию
В Харькове девочка возрастом 1 годик попала в больницу, проглотив игрушку, особо опасную для маленьких детей. В итоге врачи успешно провели сложную операцию и извлекли посторонние предметы из кишечника.
Об этом 13 января передали в Харьковской областной детской клинической больнице №1 на странице в Facebook.
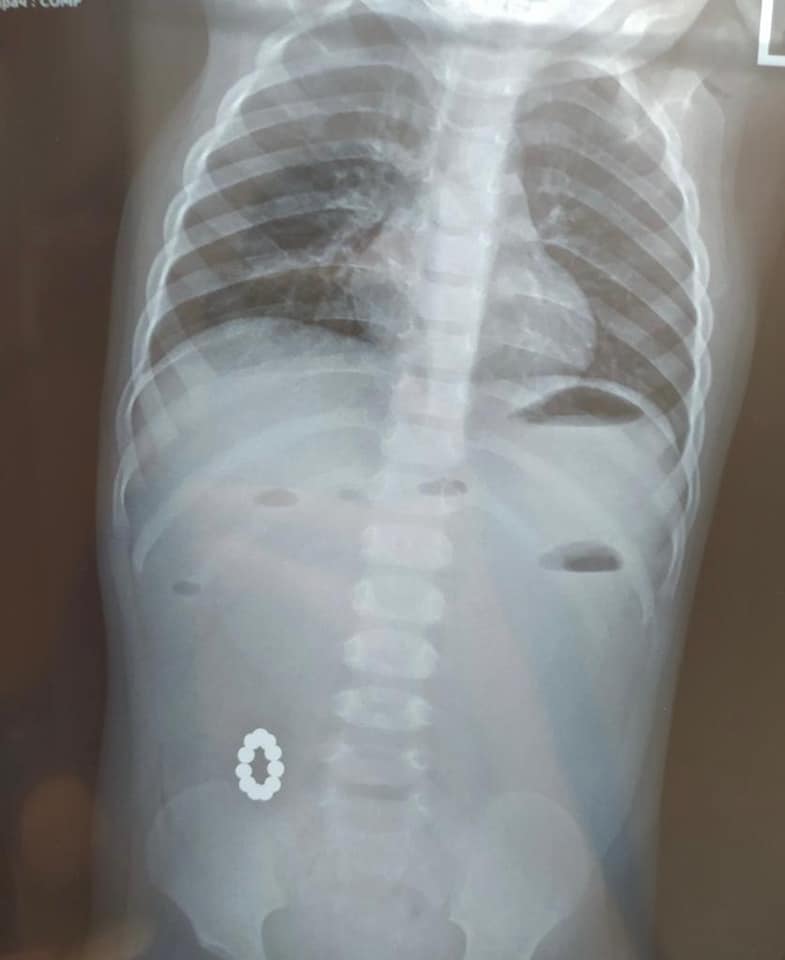
В медучреждение маленький пациент попал с подозрением на пищевое отравление, но при диагностике обнаружили, что в кишечнике находятся магниты типа "Неокуб", которые соединились между собой и сложились в кольцо.
"На этот раз они привели к тяжелой хирургической патологии - непороходности кишечника! Мы уже не раз обращали внимание родителей на эти опасные игрушки особенно для малышей!" - отмечается в публикации.
Детские хирурги, врач интерн, детские анестезиолог и операционные сестры успешно выполнили сложное оперативное вмешательство по удалению посторонних тел, освободив кишечные пути.
Медики в очередной раз обратились к родителям с призывом быть бдительными при уходе за детьми, и сразу же обращаться к врачам-специалистам, если заметили что-то необычное с ребенком.
Также в больнице опубликовали фото рентгена и самой игрушки, которую извлекли после операции.


Напомним, игрушки конструкторы и головоломки "Неокуб" состоят из маленьких шарообразных магнитов, которые в случае случайного глотания ребенком могут привести к перекрытию дыхательных путей и удушению или асфиксии, образованию язв в кишечной полости.
Теги: ХарьковМедицинаСпасениеДетиопасностьИгрушки
Коментарі:
comments powered by DisqusЗагрузка...
Наші опитування
Показати результати опитування
Показати всі опитування на сайті
