Коронавирус съедает легкие: в сети показали снимки больных с COVID-19

Коронавирус съедает легкие: в сети показали снимки больных с COVID-19
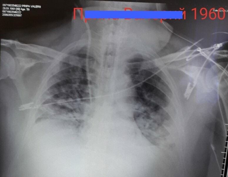
Журналист канала "24 Украина" Андрей Булгаров обнародовал снимки людей, у которых подтверждена коронавирусная инфекция COVID-19.
На снимках, обнародованных на его странице в Facebook, показаны последствия влияния вируса на легкие

"Меня задолбало пояснять на словах всяким неверующим в COVID-19, что все на самом деле очень серьезно. Поэтому попросил папу, который давно на пенсии, но продолжает работать в районной больнице врачом-рентгенологом, прислать мне снимки больных, у которых официально подтверждён COVID-19. В общем, вот как коронавирус постепенно съедает легкие. А если по научному, вызывает двустороннюю полисегментарную пневмонию", – пояснил написал Булгаров.
Он добавил, что современная медицина почти не контролирует протекание болезни.
"Да, ношение маски не гарантирует того, что вы не заболеете, но таким образом вы существенно усложните попадание вируса в ваш организм", – отметил журналист.
Теги: пациентыпандемияЭпидемия коронавирусакоронавирусCOVID-19
Комментарии:
comments powered by DisqusЗагрузка...
Наши опросы
Показать результаты опроса
Показать все опросы на сайте
