Врач показала "самые страшные" легкие больного COVID-19

Врач показала "самые страшные" легкие больного COVID-19
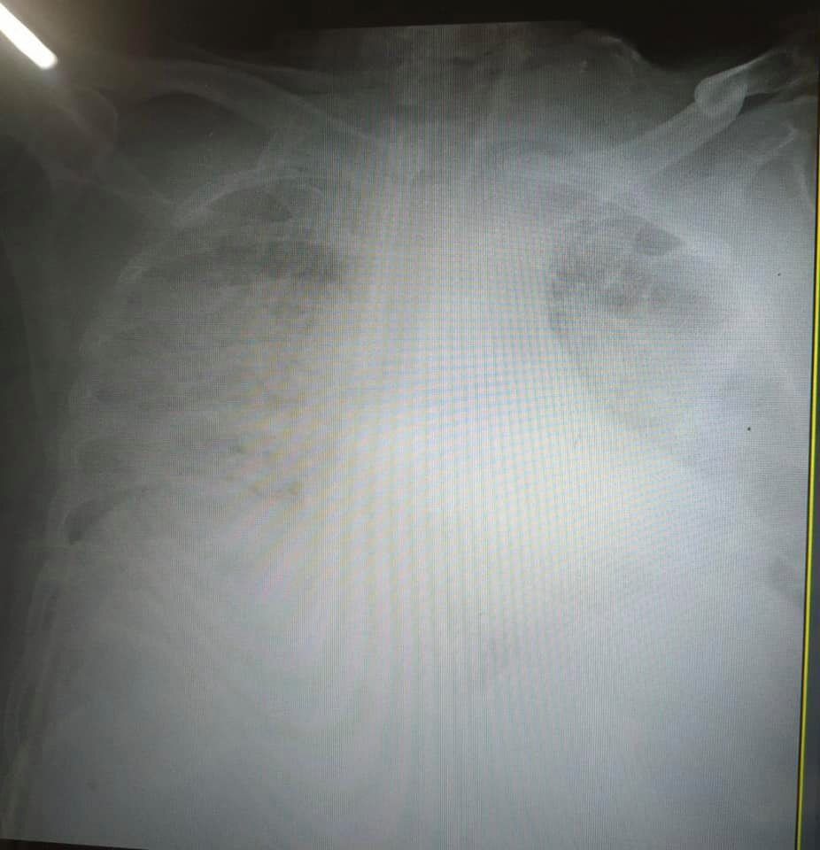
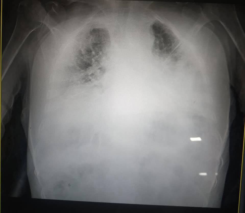
Украинская журналистка Ирина Заславец показала фото рентгена легких, пораженных коронавирусной болезнью (COVID-19).
Снимки она опубликовала в Facebook после общения с главой реанимации Клинической больницы скорой медицинской помощи Львова Натальей Матолинец.
"Это одни из самых страшных легких, которые я видела в жизни", – отметила врач.


Заславец добавила, что ранее из Винников в областную больницу доставили 18 пациентов с COVID-19, 7 из них – в реанимации. Все в критическом состоянии, подчеркнула журналист.

Теги: COVID-19Эпидемия коронавирусакоронавируспациентыРентген
Комментарии:
comments powered by DisqusЗагрузка...
Наши опросы
Показать результаты опроса
Показать все опросы на сайте
