Львовские медики достали из трахеи 4-летнего ребенка лампочку от гирлянды

Львовские медики достали из трахеи 4-летнего ребенка лампочку от гирлянды
Во Львове из дыхательных путей четырехлетнего ребенка достали лампочку от гирлянды. Врачам удалось сделать все без хирургического вмешательства.
Об этом 13 декабря сообщается на Facebook-странице Львовской областной детской клинической больницы "Охматдит". Мальчик проглотил лампочку, когда семья достала коробки с украшениями для елки.
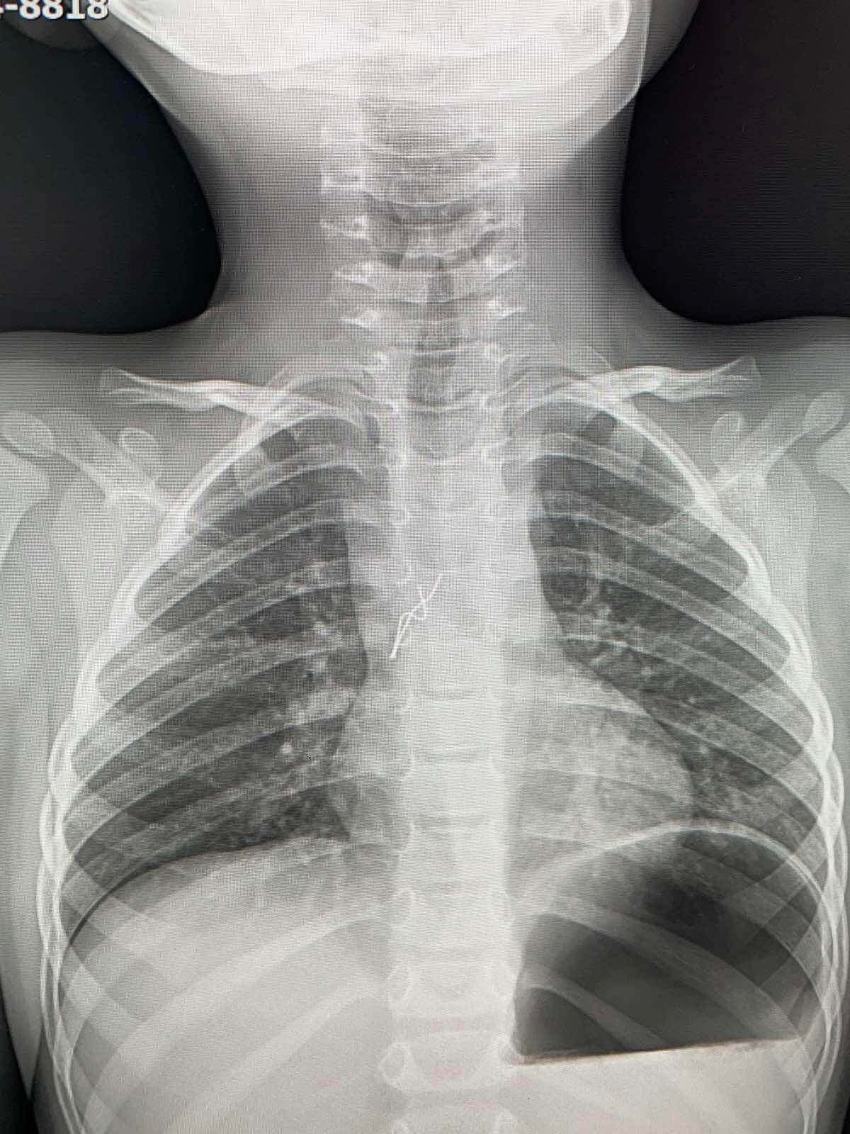
Родители рассказали, что ребенок начал кашлять и задыхаться. Родители сразу вызвали скорую. В больнице сделали рентген и обнаружили инородный предмет.

Торакальный хирург Александр Колодий рассказал, что ему удалось достать лампочку без хирургического вмешательства.
По словам врача, ее усики повредили слизистую оболочку в участке бифуркации трахеи и там появились мелкие кровоизлияния.
"Я схватил усики щипцами, завел их в тубус бронхоскопа и вместе с ним достал лампочку из бронхов ребенка", – сказал Колодий.

Теги: ИнцидентПраздникиЛьвовСпасениеДетиМедики
	Комментарии:
comments powered by DisqusЗагрузка...
Наши опросы
Показать результаты опроса
Показать все опросы на сайте
				
				
				
				
				
				
				
				
			
		
		